摘要
背景
中面部宽度主要取决于颧弓的外突程度。对于外侧弧度过大、颧弓外突明显的患者,缩小中面部宽度的最佳方法是降低颧弓高度并缩短弧长。现有的颧骨缩小整形技术尚不能改变颧弓弧度。本研究提出了一种新技术:在颧骨复合体多个部位进行截骨,并在颧弓最突出处切除部分骨段,从而有效缩小中面部宽度。切除骨量可通过简化的几何计算,根据预期的颧弓高度缩小率来推算。
方法
采用数字化CT影像评估颧弓高度,并计算需切除的骨量。在颧弓最突点切除特定骨片,并在颧弓前、后根部行青枝骨折。随后将打开的颧弓内旋,直至两端复合。
结果
共对 1,020 侧颧弓进行缩窄,颧弓高度减少范围为 3~11 mm。所有缩窄的颧弓均获得良好复合与坚固愈合。患者总体满意度高。
结论
该技术通过改变颧弓的弧度来缩小中面部宽度。简化的几何计算方法有助于确保颧弓在预设的弧高水平下,通过计算后的弧长缩短实现稳定复合。
关键词
颧骨缩小整形;颧骨;几何学评估;多点截骨;颧弓;中面部宽度
引言
颧骨缩小整形在东方人群中颇为流行,因为患者普遍希望缩窄宽阔的中面部,以获得更为纤细的外观。以往的颧骨缩小术式包括凿削与刮骨法 [1–3]、L形或回旋镖形截骨 [4–9]、三脚架截骨 [10,11]、颧弓后根截骨 [12–15] 以及前后根联合截骨伴颧弓内折术 [16–19]。其中,凿削/刮骨法及L形或回旋镖形截骨主要集中于减小颧骨体积或颧复合体前端,而三脚架法及前/后根截骨术仅能在有限程度上缩窄颧弓,因为若颧弓内推过度(超过其厚度),骨端将无法复合。迄今为止,尚无技术尝试通过在颧骨复合体多点截骨,使过度弯曲的颧弓变直,从而达到缩窄效果。
事实上,颧弓中段的外突是造成中面部宽大或颧骨外隆的主要原因。因此,要缩窄中面部,就必须矫直过度弯曲的颧弓,这需要在颧弓的多个部位行截骨。另一方面,要降低颧弓高度,则需缩短颧弓弧长,因为弦长必须保持恒定。本文介绍了一种基于数字化颧骨CT影像的多点截骨颧弓缩窄新术式,结合简化的几何计算,精准控制颧弓骨量切除,并保证颧弓在降低后的弧高水平实现良好复合。
颧弓缩窄的几何学考虑
概念
颧弓是一条弯曲的骨性结构,形似拱桥。从几何学角度看,当拱的跨度不变时,要降低拱高,必须缩短弧长。对于面部宽大的患者,颧弓中段外突过度。若要缩窄面部宽度,就必须同时减少颧弓外突程度和弧长。尽管颧弓为不规则结构,但仍可遵循几何学规律,通过计算确定为达到某一拱高缩小值所需切除的弧长。
颧弓外突程度的评估
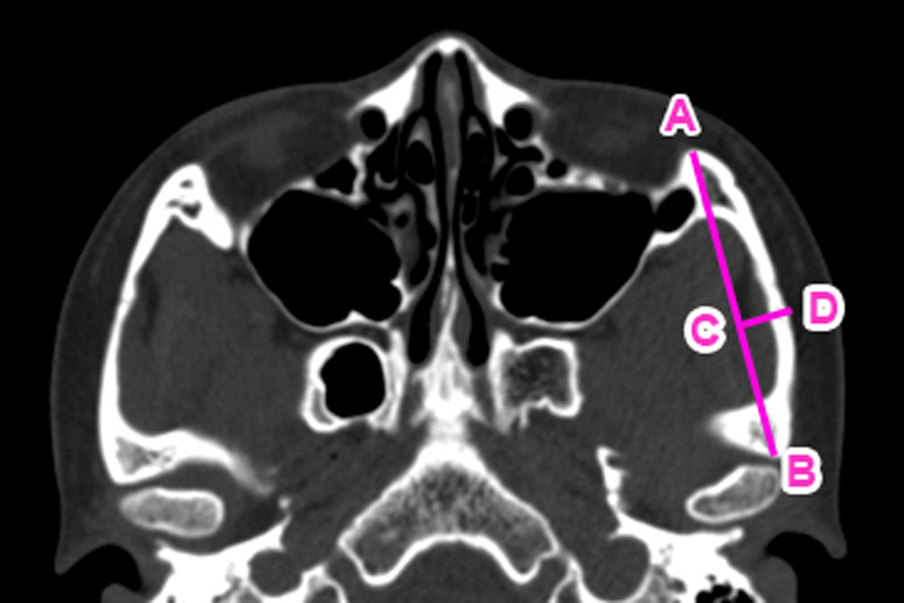
采用数字化CT影像评估患者颧弓外突程度。测量及计算的参数和标志如下(见图1):在颧弓横断面CT影像中,自颧弓前根(A点)至后根(B点)连线代表颧弓弦长。标记颧弓最外突点(MPP,D点),其至弦线的垂直距离(D点至C点)即为颧弓高度(HOA)。前根至最突点距离(ARMPPD)为A点至D点距离,后根至最突点距离(PRMPPD)为B点至D点距离。

图1. 颧弓突出几何学评估所用的标记与参数。A–B 线表示颧弓的弦长,C–D 线表示颧弓的高度(HOA)。
为建立颧弓高度(HOA)的平均水平,从两个不同医院CT中心的数据库中随机选择了 1,200 例(女性600例,男性600例)颧弓数字化CT影像。所有受试者均出生并生活在中国北方,年龄在20至40岁之间。本研究组中女性的平均HOA为 6.1 ± 1 mm,男性的平均HOA为 5.2 ± 1 mm。在临床实践中,这些平均HOA水平被用作中国北方患者的参考值。
颧弓缩窄的几何学公式
手术前,通过带测量工具的软件获取患者颧弓的CT影像数据。分别测量每侧颧弓的HOA,用于评估外突程度。对于希望将HOA降低至预期水平的患者,需要计算相应的颧弓弧长缩短量,计算方法如下:
LDSZA=AD+BD−A′D′−B′D′
其中:
-
AD、BD 为原始颧弓前、后根至最突点的距离;
-
A’D’、B’D’ 为在降低HOA至目标高度后,新的前、后根至最突点的距离;
-
LDSZA 表示颧弓弧长缩短量。

图2. 利用勾股定理示意计算颧弓需切除的弧长。横断面CT影像显示过度弯曲的颧弓(左图)。右图为对应的模拟影像,显示颧弓缩窄后的弧高与弧长缩短情况。HOA′为预期的颧弓高度。
患者与方法
患者资料
1995年至2013年期间,共有520例患者接受了该方法的颧弓缩窄手术,总计治疗了1,020侧颧弓(其中20例仅行单侧手术)。所有患者均来自中国北方,年龄范围18~50岁,平均年龄28岁。男女比例为125:395。98例患者曾接受过不同术式的颧骨缩小整形,包括磨削术、颧弓前端或后端截骨术。手术适应证为:颧弓高度(HOA)>7 mm,患者整体健康,且颧骨及颧弓无异常。
手术切口
所有患者均采用口内切口以显露颧骨及颧弓前段。在尖牙与第二磨牙之间,距上颊沟约0.5 cm处作约3.5 cm长的黏膜切口。钝性分离肌肉及软组织,直至显露颧骨骨膜。切开并翻起骨膜后,暴露颧骨表面。
多数患者同时采用颞部切口以显露颧弓其余部分。如患者同时有额部提升需求且具备适应证,则选择Baek [15]所描述的冠状切口。为避免额神经损伤,颞部游离层次应位于浅颞筋膜与深颞筋膜之间(Yang [20]),且在使用拉钩暴露颧弓时需避免过度牵拉。当暴露至颧弓中段上缘后,分离并去除弓外侧少量骨膜,以清理软组织,便于截骨操作。
颧弓缩窄操作
颧弓暴露后,根据CT测量的PRMPPD(后根至最突点距离),使用圆规在颧弓外侧表面标记出最突点。以该点为中心,以期望缩短的颧弓弧长(LDSZA)为直径,标记出需切除的颧弓骨片范围(见图3)。

图3. 颧弓截骨与骨切除部位示意图。A、B 点为颧弓前、后根部的青枝骨折部位;C、D 点为骨切除线。
使用带微型刀片的往复式骨锯在标记的 C、D 线处切断颧弓骨,并移除骨段以打开颧弓。随后在颧弓前、后根部(A、B 线)锯开外侧皮质骨。对打开的颧弓游离端(C、D 点)施加轻柔的内推力,使颧弓根部(A、B 点)发生青枝骨折,并让游离端(C、D 点)复合。此时颧弓重新成为稳固的固定结构。若复合后的颧弓不够稳定,则可在游离端接合处辅以微型钢板螺钉或钢丝固定(见图4、5)。

图4. 通过颞部切口进行多点截骨的颧弓缩窄术。截骨部位标记为 “A、B、C、D”。

图5. 在切除 “C” 与 “D” 之间的骨段后,颧弓被缩窄并重新复合。
结果
在 1,020 侧颧弓缩窄手术中,880 侧采用口内联合颞部切口完成,另有 140 侧采用口内联合冠状切口完成。颧弓高度(HOA)缩小范围为 3–11 mm,平均 5.85 mm。术前与术后HOA的数值列于表1中。尽管各患者左右侧HOA存在差异,但总体数据中,左右侧HOA差异无统计学意义。
表1不同年龄组患者术前与术后CT评估的HOA(单位:mm)
| 年龄 | 女性术前 | 女性术后 | 男性术前 | 男性术后 |
|---|---|---|---|---|
| 18–28 岁 | 11.75 ± 1.81 | 5.88 ± 0.97 | 11.01 ± 1.22 | 5.15 ± 1.55 |
| 29–38 岁 | 11.67 ± 2.02 | 5.82 ± 1.06 | 11.06 ± 1.24 | 5.24 ± 1.48 |
| 39–50 岁 | 12.48 ± 1.97 | 6.64 ± 1.02 | 11.04 ± 2.42 | 5.21 ± 2.35 |
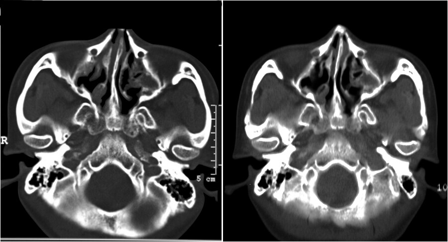
随访时间为 3~30 个月,平均 12.5 个月。所有缩窄后的颧弓均结构稳定,患者面部均如期变窄,未出现反弹现象。对 119 侧颧弓在术后 6~12 个月 进行了CT复查,所有颧弓影像均呈自然外观,颧弓高度理想性降低(见图6)。

图6在颧弓水平的横断面CT图像显示了多点截骨颧弓缩窄颧骨整形后的变化。左图为术前影像,右图为同一患者术后一年影像。
采用含有10个问题的问卷调查来评估患者满意度。问题包括:对颧骨前外侧突度缩小的满意度、对颧骨外侧突度缩小的满意度、视力和眼球运动障碍、切口瘢痕、张口受限、术后不适、局部麻木、上唇运动障碍、手术部位受压不适及工作日损失。患者需对每个问题按0至10分打分(0表示最不满意,10表示最满意)。若总分 ≥70 分,则认为患者对手术结果满意。
该组患者的满意度为 80%。最常见的抱怨是面中部不对称。约 10% 的患者抱怨术后有轻微不对称,即使在术后照片中,他们的面部较术前更为对称。这可能与患者在整形手术后对外貌的敏感度提高或期望值过高有关。
该组患者的常见并发症见表2。
表2术后并发症及恢复时间
| 体征与症状 | < 3个月 | 3–6个月 | > 6个月 | 总数 | 发生率 (%) |
|---|---|---|---|---|---|
| 眶下麻木 | 22 | 22 | 2.2 | ||
| 上唇功能障碍 | 6 | 10 | 16 | 1.6 | |
| 额肌麻痹 | 10 | 41 | 5 | 56 | 5.5 |
| 血肿 | 20 | 20 | 2.0 | ||
| 切口延迟愈合 | 12 | 12 | 1.2 | ||
| 总计 | 70 | 51 | 5 | 126 | 12.4 |
短期及长期额肌麻痹被认为是面神经颞支损伤所致,可能与术中强行牵拉导致神经过度伸展有关,类似于该组中其他与神经损伤相关的并发症。本组未出现感染。切口延迟愈合主要发生于留置引流管时间超过3天的患者。与Wang [9] 报道的总并发症发生率(早期与晚期合计 15.7%)相比,本组略低。本组并发症更多与局部神经损伤相关,而Wang的研究中则以颊部下垂和骨性不愈合更为常见。
这是本文章的缩减版本。全文已经于2014年10月16日发表在《美容整形外科杂志》(Aesthetic Plastic Surgery)第38卷第6期1143-1150页。
由于版权原因,恕文章后4页的内容不能列出。
下面是这篇文章的 Pubmed 查询结果及 SCI 收录情况。

References
1.Whitaker LA, Pertschuk M (1982) Facial skeletal contouring for aesthetic purposes. Plast Reconstr Surg 69:245–253.
2.Onizuka T, Watanabe K, Takasu K (1983) Reduction malar plasty. Aesthet Plast Surg 7:121–125.
3.Whitaker LA (1991) Temporal and malar-zygomatic reduction and augmentation. Clinics in plastic surgery. Clin Plast Surg 18:55–64.
4.Kim YH, Seul JH (2000) Reduction malarplasty through an intraoral incision: a new method. Plast Reconstr Surg 106:1514–1519.
5.Ma YQ, Zhu SS, Li JH, Luo E, Feng G, Liu Y, Hu J (2011) Reduction malarplasty using an L-shaped osteotomy through intraoral and sideburns incisions. Aesthet Plast Surg 35:237–241.
6.Kook MS, Jung S, Park HJ, Ryu SY, Oh HK (2012) Reduction malarplasty using modified L-shaped osteotomy. J Oral Maxillofac Surg 70:e87–e91.
7.Yuan J, Cho MY, Zhang Y, Qi ZL, Wei M (2011) Influence of the maxillary sinus exposure in reduction malarplasty with an L-shaped osteotomy. J Craniofac Surg. 22:1788–1790.
8.Nakanishi Y, Nagasao T, Shimizu Y, Miyamoto J, Kishi K, Fukuta K (2012) The boomerang osteotomy—a new method of reduction malarplasty. J Plast Reconstr Aesthet Surg 65:e111–e120.
9.Wang T, Gui L, Tang X, Liu J, Yu D, Peng Z, Song B, Song T, Niu F, Yu B (2009) Reduction malarplasty with a new L-shaped osteotomy through an intraoral approach: retrospective study of 418 cases. Plast Reconstr Surg 124:1245–1253.
10.Satoh K, Watanabe K (1993) Correction of prominent zygomata by tripod osteotomy of the malar bone. Ann Plast Surg 31:462–466.
11.Satoh K, Ohkubo F, Tsukagoshi T (1995) Consideration of operative procedures for zygomatic reduction in Orientals: based on a consecutive series of 28 clinical cases. Plast Reconstr Surg 96:1298–1306.
12.Lee JG, Park YW (2003) Intraoral approach for reduction malarplasty: a simple method. Plast Reconstr Surg 111:453–460.
13.Lee JS, Kang S, Kim YW (2003) Endoscopically assisted malarplasty: one incision and two dissection planes. Plast Reconstr Surg 111:461–467 discussion 468.
14.Sumiya N, Ito Y, Ozumi K (2004) Reduction malarplasty. Plast Reconstr Surg 113:1497–1499.
15.Baek SM, Chung YD, Kim SS (1991) Reduction malarplasty. Plast Reconstr Surg 88:53–61.
16.Sumiya N, Kondo S, Ito Y, Ozumi K, Otani K, Wako M (1997) Reduction malarplasty. Plast Reconstr Surg 100:461–467.
17.Gao ZW, Wang WG, Zeng G, Lu H, Ma HH (2013) A modified reduction malarplasty utilizing 2 oblique osteotomies for prominent zygomatic body and arch. J Craniofac Surg 24:812–817.
18.Hwang YJ, Jeon JY (1997) Lee MS a simple method of reduction malarplasty. Plast Reconstr Surg 99:348–355.
19.Shao Z, Xie Y, Yu B, Liu L, Du T (2013) A new assisted fixation technique to prevent zygoma displacement in malar reduction. Aesthet Plast Surg 37:692–696.
20.Yang DB, Chung JY (2004) Infracture technique for reduction malarplasty with a short preauricular incision. Plast Reconstr Surg 113:1253–1261 discussion 1262–3.
21.Lee YH, Lee SW (2009) Zygomatic nonunion after reduction malarplasty. J Craniofac Surg 20:849–852.
22.Baek RM, Kim J, Kim BK (2012) Three-dimensional assessment of zygomatic malunion using computed tomography in patients with cheek ptosis caused by reduction malarplasty. J Plast Reconstr Aesthet Surg 65:448–455.
23.Baek RM, Kim J, Lee SW (2010) Revision reduction malarplasty with coronal approach. J Plast Reconstr Aesthet Surg 63:2018–2024.





