骨膜增生
骨膜是附在骨骼表面的一层结缔组织薄膜,对骨骼有营养和保护作用。人体的骨骼不论大小,也不管位于什么部位几乎都有这么一层骨膜覆盖。骨膜增生是骨膜受到外伤或其它刺激后的一种正常的增生性反应,也是骨骼外伤后修复的的一个重要步骤。受刺激的骨膜细胞首先增殖,使骨膜变厚,继而骨膜下的成骨细胞增生并活跃性增强,并产生新的骨骼以修复缺损。

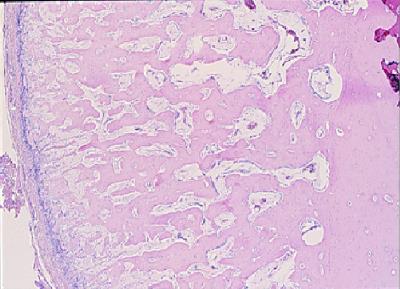
图片左侧纵向排列,细胞密集的膜性结构为骨膜,骨膜下有大量的新生骨骼组织。
就象皮肤外伤修复后留下疤痕一样,一方向骨膜增生在骨骼外伤后修复的过程中起到重要作用,另一方面又有可能使被修复骨骼的形状发生改变。对于有些位置深在的骨骼来说,形状的变化不会影响相应的整个外形,但对于浅在的骨骼,如鼻骨,这种增生就会局部的外形产生影响。
鼻骨骨膜增生
鼻骨是位于鼻背部很小的两片骨骼,虽然体积小,但其表面也有骨膜覆盖,所以在受到外伤或刺激的时候也会出现骨膜增生。与人体其它部位的骨骼相比,单纯的外伤,比如鼻骨骨折所致的鼻骨骨膜增生很少见,最多见的是外科手术不当所引起的鼻骨骨膜增生。因为单纯外伤多为一次性外力打击损伤,骨折呈线形,造成的骨膜损伤很轻微,且骨膜的结构不会有很大的破坏。
外科手术不当所致的增生主要见于采用磨骨法进行的驼峰鼻整形术,增生程度比单纯外伤者要明显的多。由于鼻骨很小,两侧鼻骨的总面积与本人的拇指指甲面积差不多。手术中不可能在盲视下将这么小的骨膜掀起,在其下方磨骨。不掀起骨膜的情况下磨骨,首先被磨的就是骨膜,所以不管磨除鼻骨的多与少骨膜都会有很严重的挫伤。骨膜挫伤与裂伤或切割伤不同,前者使骨膜的结构造成破坏,表现为骨膜的排列不整齐、翻转及重迭等。这时骨膜下成骨面相多个方向且不规则。加上磨下的骨碴不可能完全被清除,残留的骨碴原位存活也增加了增生的程度。

磨骨后鼻骨骨膜增生,驼峰鼻的驼峰有可能比手术前还要高大。
鼻骨骨膜增生的防治及预后
如前所述,鼻骨骨膜增生最常见的原因是驼峰鼻整形时磨骨对骨膜造成的损伤。因此,避免使用磨骨的方法进行驼峰鼻整形可以有效地预防鼻骨骨膜增生的发生。驼峰鼻整形的手术方法可以选用创伤更小,效果更佳的截骨法,将多余的鼻骨整齐截除,并重新对合,这样的手术方法对骨膜造成的损伤很小,可以避免或很大程度上减轻鼻骨骨膜增生的发生,以保证驼峰鼻不会越整越大。
骨膜增生是骨骼外伤后修复的必然过程,但正常情况下增生是暂时的,一段时间的增生期过后,多余的增生骨骼会被逐渐吸收,最后被修复的骨骼恢复到受伤前的形状,这就是骨骼损伤修复过程中的塑形期。
磨鼻骨所造成的骨膜增生的预后则与一般单纯外伤所致的骨膜增生不同。由于被挫伤的骨膜排列紊乱,使骨膜本身的增生及新生骨的沉积也不规则。这种异常的增生使骨骼损伤后的外形重塑受到很大影响,以致增生的多余骨膜及骨骼最终也不会被完全吸收,形成永久性的外形异常。因此,磨鼻骨所引起的鼻骨骨膜增生预后多不良。
鼻骨截骨内推会不会出现骨膜增生
鼻骨截骨内推进行宽鼻整形或驼峰鼻整形时,截骨所形成的骨损伤比单纯外伤所致的损伤更加轻微且截骨线比外伤后致的骨折线整齐,骨膜的损伤轻微、结构保持完整。截骨的方法不用对鼻骨进行任何挫磨,有经验的外科医生只用截骨就可以使截骨后重组的鼻骨光滑自然。所以不会有骨膜挫伤,也不会在创面内遗留磨骨形成的骨碎屑,所以鼻骨截骨内推会不会留下永久的骨膜增生,也不会造成永久性的鼻背肥大。
