“颧骨颧弓舒平术”是由马福顺博士发明的“颧骨颧弓复合截骨术”发展而来。在对前人手术方法试用分析的基础上,通过大量的解剖学,人体测量学和CT影像学测量研究。马福顺博士于1995年提出了颧骨颧弓复合截骨术颧骨颧弓降低的新术式–颧骨颧弓复合截骨整形术。 这一术式的原理是采用多处截骨,颧弓内推,改变颧骨颧弓的弧度的方法使面部变窄。
为什么要多处复合截骨
颧弓是一个弓形的骨性结构,两处以下截骨不可能改变颧弓这一刚性物体的弧度,所以只有采取三处以上截骨才能使其弓度发生改变而起到缩窄面部的作用。另一方面要将弓形物体的弓度拉直后,其长度,也就是如下图所示A,B两点间的直线距离,必然增加,所以颧弓变直后其原有的位置就不能容纳变长的颧弓,只有在颧弓的某一部分截除一定长度的骨骼才能使变直以后的颧弓完美对接。

图片说明:将CD之间的骨骼切除,并且切开A,B两处骨骼。颧弓内推,使其弓度变直后将C,D两断端对接并用钢丝或钛板因定(早期术式需要固定,现在的术式不再需要任何钢丝或钛板固定)。颧弓弓度变直后脸部两侧就再没有突出的颧弓可见,脸形变小。

颧骨颧弓复合截骨术设计原理
在颧骨颧弓复合体上造成三处截骨,并在颧弓中间(CD之间)部分截除一定长度的颧弓,使降低后的颧弓弦长,也就是a,b两点间的直线距离保持不变,保证颧弓在降低后仍能完美对接。所以CD之间的截骨长度是手术设计的关键,截除长度的大小决定了颧弓降低的幅度。
有了这种方法是不是说颧弓降低的幅度可以想做多大就做多大?其实不然。如果CD之间的截骨长度过大,截骨两端的颧弓就不能直接对接,中间就会有其它软组织嵌入,使截骨后的颧弓不能愈合。另外颧骨下方有肌肉和其它软组织,甚至骨性结构,如果颧弓过度降低会挤压这些组织及结构影响功能。
颧骨颧弓复合截骨术前设计步骤。首先进行颧弓CT扫描,计算出颧弓的弓高。这一高度也就是颧弓能够降低的最大量,过于降低颧弓有造成颧弓内陷的可能。根据脸形变化的需要确定颧弓降低量,也就是说弓高的降低量。最大降低量的数值因人而宜。根据以往临床经验,最大降幅可达每侧1.5CM,双侧合计就可达3CM,相当于将整个面部的宽度变窄1/5到1/4,可以起到明显缩窄面部宽度的作用。颧弓弓高降幅确定后,依据颧弓弧长,根据公式精确地计算出CD之间骨骼切除长度。
颧骨颧弓复合截骨术的固定
颧骨颧弓的主要功能是为表情肌提供附着点和保护面部及颅骨,见什么是颧骨颧弓。颧骨颧弓复合截骨术对颧骨颧弓的功能和面部软组织的外形不会造成任何影响,主要依赖于其可靠的固定技术。颧骨颧弓截骨整形后,有一部分颧骨颧弓的骨片已经游离并可以移动,表情肌及咬肌力量及重力的作用都有可能使已经游离的骨片向下移位,造成颧骨凹陷和面部下垂的不良外观。复合截骨术在颧骨颧弓的前端采用了马福顺博士发明的卯榫固定技术,不用任何钛钉钛板外固定,不在自体内留任何异物的情况下保证了坚固的固定。

术前仰头位观察颧弓明显向外侧突出,在颧弓前后端根部设计截骨线作为颧弓降低时的旋转轴

颧弓降低后两侧颧弓断端正好能够对合
颧骨颧弓舒平术
颧骨颧弓复合截骨术应用临床后取得很好的效果。从根本上克服了磨骨术和单纯截骨术的主要缺点。但其手术操作比较繁琐,除口腔内有切口外,在颞部发际内也需要一个比较大,长约6CM的切口。近年来,马福顺博士对这一手术方法又进行了改进,改变了去除骨段的位置,及手术操作方法。这样颞部发际内的切口只需约1CM长,就可以做到颧骨颧弓多处截骨,使颧骨颧弓复合体平滑地内收,降低颧弓起到变窄面部的作用。手术创伤大大减小,术后恢复更加快速。马福顺博士称这一术式为颧骨颧弓舒平术。
由于手术的分离范围大大缩小,肌肉从骨骼表面被剥离下来的也很少,所以更好地避免了面部软组织下垂的可能。该手术创伤小,放置引流管时间只有4-6小时,包扎时间也很短,一般在10个小时以内。大部分受术者可以在术后第二或第三天恢复上班。术后第二天就可正常进食。但应避免局部外力碰撞三个月。


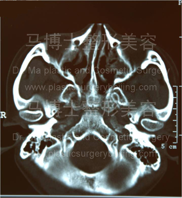
同一受术者术前术后CT断层,断面为经过颧弓的水平断面。左侧术前CT片可见颧弓弓度较大,右侧术后者弓度较小,颧弓变直。这种变化使两侧颧弓最突出点的距离变小。面部宽度变窄。
颧骨颧弓舒平术的特点
1.手术切口:口腔内切口加一发际内约1cm长的小切口。愈合后切口基本看不见。
2.不用任何外固定物如钛钉钛板固定,骨骼及软组织不会出现下垂。
3.颧骨颧弓愈合后,结构功能不受任何影响。颧骨颧弓的强度与手术前一致。
4.术后包扎一天。术后第二天就可以正常进食。
